Виниры в Санкт-Петербурге — красивая улыбка за один день 25 000 ₽ 41 667 ₽
Композитные виниры — щадящий способ вернуть красоту улыбки и уверенность в себе
Когда установка виниров становится оптимальным решением?

Неровные зубы или небольшие перекосы в зоне улыбки

Потемнение эмали, которое не поддается отбеливанию

Щели между зубами или форма зубов мешают уверенно улыбаться

Сколы, трещины, изношенные края зубов или истончение эмали

Технологии, обеспечивающие точность и долговечность виниров
Микроскоп для точной работы
Стоматологический микроскоп позволяет врачу рассмотреть мельчайшие детали зубов и десен, чтобы получить максимально точный оттиск. Это обеспечивает идеальное прилегание виниров и гарантирует их долгий срок службы.
Установки KaVo для спокойной процедуры
Немецкие стоматологические установки премиум-класса дают врачу полный контроль над процессом. Такое оборудование делает процедуру предсказуемой и комфортной для пациентов.
Оставьте свой номер — администратор подберет время для консультации со стоматологом:
Почему стоит выбрать композитные виниры
Современные композитные виниры позволяют создать ровную и сияющую улыбку без долгих процедур и сильной обработки зубов
Винир точно повторяет форму и прозрачность ваших зубов
Щадящее препарирование позволяет сохранить здоровые ткани зубов
Материал устойчив к окрашиванию и механическим повреждениям
Гарантия долговечного результата
Неотличимы от собственных зубов
Композитные виниры в «Матисс Дент» — это сочетание красоты, безопасности и заботы о здоровье зубов. Наши специалисты подробно объяснят каждый шаг и подберут оптимальный оттенок и форму.
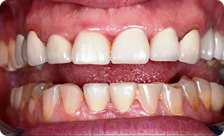
История Елены
Елена обратилась к нам с желанием исправить неровныеи потемневшие зубы в зоне улыбки
После консультации в «Матисс Дент» врач предложил установить композитные виниры, чтобы безопасно и быстро преобразить улыбку.
Я даже не ожидала, что результат будет таким естественным и быстрым. Всего за один прием мои зубы стали ровными и белыми. Теперь я смело улыбаюсь
В «Матисс Дент» мы используем современные материалы и проверенные технологии, что обеспечивает долговечный результат. Также даем расширенную гарантию до 2 лет при соблюдении правил ухода.
Современные виниры без обтачивания или с минимальным обтачиванием по технологии Non-prep
Технология non-prep при установке виниров позволяет добиться идеальной улыбки без сильного обтачивания эмали, сохраняя естественную структуру зуба
Виниры изготавливаются из композитных материалов и надежно фиксируются на необработанную поверхность зуба.
- Метод обеспечивает красивый эстетический результат без боли, с минимальным вмешательством и быстрым восстановлением
- Подходит при правильно выровненных зубах и нормальном прикусе.
Non-prep виниры — современное, малоинвазивное решение для тех, кто хочет улучшить улыбку быстро и безопасно.
Специальные предложения
для здоровья ваших зубов

Трехэтапная профессиональная гигиена полости рта
Полное удаление налета и камня, очистка труднодоступных участков, профилактика кариеса и заболеваний десен
5 000 ₽
8 100 ₽

Отбеливание зубов современной системой
Безопасная технология, позволяющая всего за один прием сделать зубы светлее до 5 тонов, сохраняя здоровье эмали
21 000 ₽
35 500 ₽

Check-up полости рта
Комплексная консультация терапевта, составление индивидуального плана лечения, профессиональная гигиена и фторирование верхней и нижней челюсти
7 500 ₽
9 800 ₽
Этапы создания идеальной улыбки с композитными винирами
Весь процесс максимально точен, безопасен и комфортен, окончательное решение о форме и цвете виниров врач всегда согласовывает с пациентами
01
Восковое моделированиеи примерка mock-up
«Сначала создают восковую модель будущей улыбки, затем во рту пациента формируют пробную версию новых зубов из безопасного материала, чтобы оценить форму и пропорции.


02
Изготовление композитных виниров
После утверждения формы врач проводит реставрацию во рту: композит послойно наносится на зубы, формируя анатомию, текстуру и прозрачность, каждый слой полимеризуется лампой.
03
Завершение и полировка
После завершения моделирования виниры тщательно шлифуются и полируются до естественного блеска. Привыкание к новой форме происходит быстро — как правило, в течение 1–2 дней.

Примеры того, как виниры добавляют уверенности
История каждого пациента уникальна, и мы не просто лечим зубы, а помогаем людям обрести уверенность, учитывая их ситуацию, потребности и ожидания
Профессионалы эстетической стоматологии уже 10 лет делают идеальные улыбки
Запишитесь на консультацию, чтобы получить рекомендации по лечению
На первом приеме врач проводит осмотр, оценивает состояние зубов, собирает анамнез и при необходимости назначает дополнительные исследования.
После согласования плана цена фиксируется — никаких скрытых платежей и неожиданных доплат.

Узнайте, подходят ли вам виниры и какие этапы лечения потребуются








